HAPLUS,日本东京,ハプラス歯科,哈普拉斯口腔医院
门诊时间
免费咨询,各种询问
HAPLUS博客
日语网站
  1. 首页 >
  2. 案例介绍

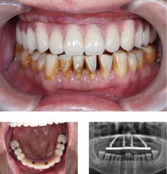
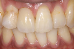
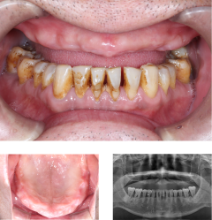
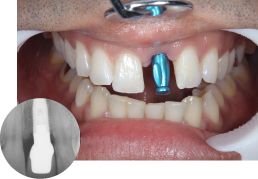
インプラントの症例1

  • 治疗前
  • 治疗中
  • 治疗后(治疗后经过2年)

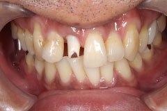
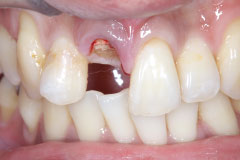
インプラントの症例2

  • 治疗前
  • 治疗中
  • 治疗后(治疗后经过2年)

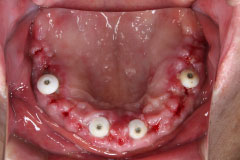
All on 4 インプラントの症例

  • 治疗前
  • 治疗中
  • 治疗后